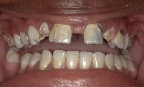
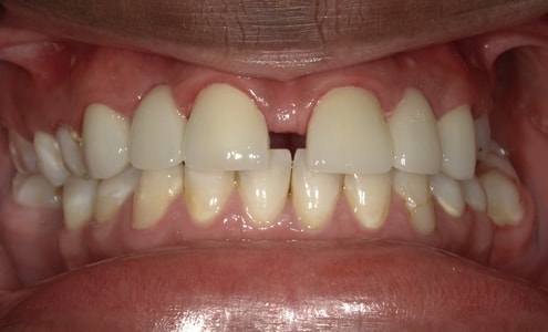
Home/ Smile Gallery/Patient 10
A beautiful smile can make a lasting impression, boost self-confidence, and even improve your overall quality of life. If you are unhappy with the appearance of your teeth due to… Read More
If you have teeth in the far back of the mouth, known as premolars and molars, that need to be removed due to tooth decay, injury, or other reasons, it’s… Read More